До и После
До и После

На фото работа стоматолога-терапевта Черновой Ольги Вячеславовны.
Запись на прием и консультацию по телефону
Комментарии врача:
«На фото зуб постоянный (так называемая „шестерка“). Углубления на жевательной поверхности зуба называются фиссурами, это самое уязвимое место у зуба, здесь легко скапливается налёт и остатки пищи и эти места позже всего заканчивают свою минерализацию после прорезывания. Поэтому кариес в фиссурах очень частое дело . В данном клиническом случае кариес в пределах дентина .успели вовремя обнаружить и вылечит».

На фото работа Черновой Ольги Вячеславоны. Детский стоматолог, стоматолог-терапевт.
Приходите на прием и консультацию. Будем рады Вас видеть. С заботой о Вас МедЦентр на Советской, 173. Телефон

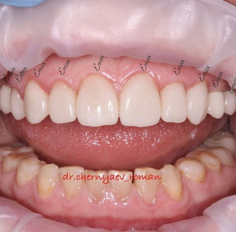
На фото работа нашего врача-стоматолога-хирурга, ортопеда, имплантолога. Черняев Роман Михайлович. В данном случае использованы цельнокерамические реставрации и циркониевые коронки на имплантатах. Ждём Вас на приём и консультацию в МедЦентре на Советской 173, телефон
Работа и комментарии Романа Михайловича Черняева. Имплантолог, стоматолог, стоматолог-ортопед, стоматолог-хирург.
«Ночная история... обратилась пациентка по рекомендации от коллеги.. с жалобами на эстетический дискомфорт от внешнего вида зубов верхней и нижней челюсти, отсутствие 3х зубов верхней челюсти. Фотографии „до“ к сожалению нет, но видя ситуацию снизу не сложно догадаться, что верхняя челюсть в таком же состоянии!
Что мы сделали? Провели имплантацию отсутствующих зубов, препарирование всех зубов верхней челюсти под цельнокерамические реставрации, в финале была произведена фиксация безметаловых реставраций на свои зубы и имплантаты. В следствии наших действий ни один зуб не пострадал „зубки остались живыми“, а пациент обрел улыбку.. следующий этап реконструкция зубного ряда нижней челюсти!»
Добро пожаловать на осмотр и консультацию в МедЦентр на Советской 173.

Работа и комментарии Романа Михайловича Черняева. Имплантолог, стоматолог, стоматолог-ортопед, стоматолог-хирург.
«Закрытие оголенных корней зубов... пластика рецессии десны! Я часто сталкиваюсь с ситуацией, когда специалисты и пациенты закрывают оголенную часть корня пломбировочным материалом, что является в корне неправильным подходом к делу! Закрыть оголенную часть корня качественно и эстетично возможно лишь хирургически! Если поставить „пломбу“ , это исправит ситуацию на некоторое время, но в последствии рецессия продолжится. В данном случае, мы провели хирургическое закрытие оголенных корней зубов нижней челюсти десневым трансплантатом с небом».